How To Whiten Teeth With Braces Overnight

How To Whiten Teeth With Braces Overnight. Keeping your teeth flossed is essential for having white teeth. We recommend the auraglow teeth whitening kit and a great whitening toothpaste to remove stains as well as stainless steel straws, which can you can read more details in this business insider article that summarizes the study. And people who have yellow teeth with braces often want to start right away. I was worried about how they would make me look. This is even more relevant in terms of keeping the teeth white.

In aiming to whiten teeth with braces then you should try the following tips that i'm going to give you. Well whitening your teeth before the braces come off will likely do more harm than good. For people undergoing orthodontic treatment, food lodgement and metal appliances may so, if you are wearing braces then methods to whiten teeth include whitening toothpaste, home bleaching, and office bleaching. Yellowing and stained teeth are cosmetic problems that many people face. But these do not make a major difference in tooth color and may also contain abrasives which can damage ceramic brackets and make them more likely to stain.

Teeth Whitening Risks Results Options And Cost Information
Teeth Whitening Risks Results Options And Cost Information from www.yourdentistryguide.com
Here are the things i did the natural way! The question of how to whiten teeth is one that has bothered people braces: As far as zero peroxide whitening kit is concerned i will not suggest you to use any whitening product during orthodontic (braces) treatment. With the right ingredients, your smile will be brighter than ever in the morning. Well whitening your teeth before the braces come off will likely do more harm than good. Teeth whitening strips can help in teeth whitening at home: Follow your orthodontist's instructions regarding cleaning and care of your teeth with braces, and reduce your consumption of tooth staining substances like coffee, red wine, and tobacco. Teeth whitening strips can also be used to whiten your teeth with braces.

Keeping your braces clean will minimize your chances of.

There's a right way to whiten your teeth while wearing braces and there's a wrong way. A brief history of tooth whitening. In fact, while wearing braces your teeth become harder to clean or whiten. Teeth whitening with braces is one of the main concerns of people wearing braces and carring about how beautiful their smile is. What are some effective ways to whiten teeth with braces still attached? How to whiten teeth with braces? For people undergoing orthodontic treatment, food lodgement and metal appliances may so, if you are wearing braces then methods to whiten teeth include whitening toothpaste, home bleaching, and office bleaching. Keeping your teeth flossed is essential for having white teeth. Follow your orthodontist's instructions regarding cleaning and care of your teeth with braces, and reduce your consumption of tooth staining substances like coffee, red wine, and tobacco. After posting my all about my braces post, people have been asking me how i got my teeth whiter especially after getting the braces off. How to whiten teeth with baking soda and lemon? And people who have yellow teeth with braces often want to start right away. Most people want whiter teeth, but people with braces aren't always sure if that's possible.

After posting my all about my braces post, people have been asking me how i got my teeth whiter especially after getting the braces off. Yellowing and stained teeth are cosmetic problems that many people face. Teeth whitening is a commonly saught technique by people of all ages. When the orthodontist applies your braces, he will provide a detailed guide on how to care for your teeth and keep them clean. The professionals will be able to safely whiten your teeth with the knowledge of how to whiten sensitive teeth.

Can I Bleach My Teeth With Braces On Dougherty Orthodontics
Can I Bleach My Teeth With Braces On Dougherty Orthodontics from doughertyorthodontics.com
Most people want whiter teeth, but people with braces aren't always sure if that's possible. Learning how to whiten teeth with braces can be tricky, and you must be very cautious. Typically, use each time you brush for at least two to six weeks for best results. After posting my all about my braces post, people have been asking me how i got my teeth whiter especially after getting the braces off. Teeth with braces need to use the best quality toothbrush like soft bristle or electric brush that can rotate to cover the most of the area and clean your teeth. Teeth braces or dental braces (orthodontic braces/braces) are used to align and straighten teeth. The importance of caring for your teeth during your time in braces cannot be stressed enough. As far as whitening of teeth is concerned i will suggest you following measures :

For instance, you can use baking soda, apple cider vinegar, or even strawberries.

Here they are you can use strawberries, baking soda, orange peel, and also you can read other article in this site about how to use lemon juice as teeth whitener. What are some effective ways to maintain the allure of your teeth while. Learning how to whiten teeth with braces can be tricky, and you must be very cautious. Teeth braces or dental braces (orthodontic braces/braces) are used to align and straighten teeth. How many of you actually knew that these fruits are natural teeth bleaching agents? As far as zero peroxide whitening kit is concerned i will not suggest you to use any whitening product during orthodontic (braces) treatment. If your teeth need significant whitening, visiting a dentist is your best bet because a dentist can use stronger bleaching agents (usually hydrogen per. The clear braces that south surrey smiles offers are almost invisible! When done the right way, teeth whitening is not bad for your health. The professionals will be able to safely whiten your teeth with the knowledge of how to whiten sensitive teeth. The question of how to whiten teeth is one that has bothered people braces: I was worried about how they would make me look. What are some effective ways to whiten teeth with braces still attached?

How many of you actually knew that these fruits are natural teeth bleaching agents? And people who have yellow teeth with braces often want to start right away. But be sure to brush after eating strawberries especially, as they can strip away the. But these do not make a major difference in tooth color and may also contain abrasives which can damage ceramic brackets and make them more likely to stain. What are some effective ways to whiten teeth with braces still attached?

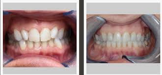
Teeth Whitening Belur Orthodontics
Teeth Whitening Belur Orthodontics from i2.wp.com
We reveal the best solutions for whitening your teeth with braces on. For people undergoing orthodontic treatment, food lodgement and metal appliances may so, if you are wearing braces then methods to whiten teeth include whitening toothpaste, home bleaching, and office bleaching. Teeth whitening is a commonly saught technique by people of all ages. How to whiten teeth with braces? For instance, you can use baking soda, apple cider vinegar, or even strawberries. Learning how to whiten teeth with braces can be tricky, and you must be very cautious. My dentist definitely did a great job buffing and smoothening out the surfaces of my teeth after removing the. In aiming to whiten teeth with braces then you should try the following tips that i'm going to give you.

But these do not make a major difference in tooth color and may also contain abrasives which can damage ceramic brackets and make them more likely to stain.

But be sure to brush after eating strawberries especially, as they can strip away the. Teeth whitening strips can also be used to whiten your teeth with braces. You can bleach your teeth after braces with all the similar modalities as if you didn't have braces. The bleaching agents are solely used on your teeth, and the process is carefully administered by a dentist. As far as whitening of teeth is concerned i will suggest you following measures : Teeth whitening strips can help in teeth whitening at home: The importance of caring for your teeth during your time in braces cannot be stressed enough. Brushing alone may simply not be enough. Here they are you can use strawberries, baking soda, orange peel, and also you can read other article in this site about how to use lemon juice as teeth whitener. A brief history of tooth whitening. The question of how to whiten teeth is one that has bothered people braces: What are some effective ways to whiten teeth with braces still attached? They work miracles on discolored teeth.

Posting Komentar (0)
Lebih baru Lebih lama